重塑“膝”望——七旬老人车祸致膝关节严重变形,济南市人民医院助其重获行走力量
一场突如其来的车祸,让73岁的李奶奶(化名)左膝关节遭受了毁灭性的重创——剧痛、肿胀、变形。对于高龄骨质疏松患者而言,这种高能量胫骨平台骨折是创伤骨科领域公认的“硬骨头”。它不仅是骨头断了,更是一场关节内“地基塌陷”与“软组织撕裂”的复合型灾难。
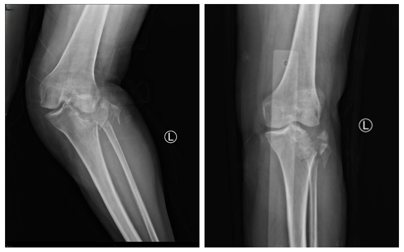
近日,济南市人民医院创伤骨科团队凭借成熟的“胫骨平台骨折治疗三大核心目标”理念,成功为李奶奶实施了手术。术后影像显示,原本塌陷的平台被完美抬起,外翻的“歪腿”回归笔直。

急诊第一关:抢的就是“生命力线”
李奶奶被送入急诊时,左膝呈现严重外翻畸形。在普通人看来是“腿歪了”,在医生眼里却是下肢力线的崩溃。力线是承重的根本,畸形愈合带来的损害远甚于关节面的轻微不平。
医护人员在急诊室第一时间实施了手法牵引复位。这一步看似简单,实则至关重要——快速纠正外翻畸形,将下肢力线拉回正轨。这不仅缓解了软组织张力、减轻疼痛,更为后续的精准手术创造了骨性框架基础。
术前“天眼”评估:不仅要看骨头
胫骨平台骨折的陷阱在于:X光片看到的只是冰山一角。要想术后不“踩雷”,术前必须拥有透视眼。
三维CT重建:清晰还原了李奶奶外侧平台严重的塌陷地图,精确计算了骨缺损的深度和范围,为制定“植骨+撬拨”术前规划提供依据。
核磁共振(MRI):揭开了软组织损伤的面纱——明确了内侧副韧带(MCL)和外侧半月板的损伤程度。
三维CT重建图及MRI影像可见外侧平台严重塌陷,内侧副韧带及外侧半月板损伤。

手术台上的“艺术”:践行三大核心目标
手术全程在C臂透视导航下进行,医护人员需要做的不只是接骨,而是重建一个功能良好的膝关节。
得益于急诊的及时干预,手术开始时下肢力线已初步归位。在此基础上进一步修复关节面,确保髋-膝-踝三点一线,让骨头承重回归生理轴线。
面对塌陷如陨石坑般的外侧平台,我们采用了精准撬拨复位技术,将每一块碎裂塌陷的软骨下骨轻轻抬起,确保关节面恢复光滑平整,不留台阶。针对李奶奶的骨质疏松问题,我们同时取自体髂骨进行了结构性植骨,为抬起的关节面下方提供了坚实的“承重墙”,杜绝了术后晚期塌陷的风险。
术中发现外侧半月板撕裂,进行了缝合修复,有利于后期减轻创伤性关节炎的发生,术前MRI提示MCL损伤,是否再修复内侧副韧带?我们的决策依据是术中动态应力测试。在外侧平台坚强固定后,测试了膝关节的侧方稳定性。结果显示:当骨性结构恢复稳定后,内侧的软组织张力得以恢复,膝关节获得了初步稳定性。既然骨性稳定已能代偿,再去修复内侧副韧带反而会增加创伤和术后粘连风险。我们选择“留白”,让身体自行修复。
术后复查显示,李奶奶的外侧平台塌陷完全纠正,原本外翻的膝关节恢复笔直。目前,李奶奶正在进行“早期活动、晚期负重”的科学康复。
作者:通讯员 常永亮 焦健 责任编辑:吕冉冉
值班主任:李欢


鲁公网安备 37010402000105号